All-on-4/6-Konzept.
Feste Zähne an einem Tag
Diese Art der Versorgung ist für Patienten geeignet, die in einem oder auch beiden Kiefern zahnlos sind bzw. mit der Tatsache konfrontiert wurden, dass der bestehende Zahnbestand nicht mehr haltbar ist und entfernt werden muss.
Das All-on-4/6-Konzept bietet den Vorteil, dass an nur einem einzigen Tag der Implantation ein festsitzendes Provisorium auf nur 4 oder 6 Implantaten eingegliedert werden kann. Lange Übergangszeiten mit herausnehmbaren Provisorien sind also nicht notwendig. Daher eignet sich diese Therapieoption besonders für Patienten, die in der Übergangsphase sowohl privat als auch beruflich nicht auf ein sicheres Gefühl und Stabilität verzichten möchten und eine kosteneffektive Lösung zu herkömmlichem Implantat getragenem Zahnersatz suchen.
Die 3-Schritte Behandlung:
1. Planung mittels modernster Diagnostik und Herstellung einer 3D Bohrschablone
2. Implantation und Eingliederung der Übergangsbrücke
3. Herstellung der definitiven Versorgung
Über die 3D Röntgenaufnahme erhält der Implantologe ein genaues Bild über das vorhandene Knochenangebot.
Dies ermöglicht das exakte Positionieren der notwendigen Implantate. Durch das Hinzufügen der idealen Zahnaufstellung kann diese Position korrekt der Versorgung angepasst werden.


Im ersten Schritt werden die Implantate in der Software ausgewählt und unter Berücksichtigung des Knochenangebotes
in die ideale Position gebracht.

Beim Ausrichten der Implantate werden auch die künftigen Zahnpositionen berücksichtigt.
Damit die Implantate auch exakt an der ausgewählten Position stehen, wird im zweiten Schritt eine Bohrschablone erstellt.

Die Implantation
-
1. Bohrschablone einsetzen
-
2. Pilotbohrung in Richtung und Länge
-
3. Implantatform vergrößern
-
4. Gewinde schneiden
-
5. Implantat eindrehen

-
Über die Bohrschablone werden die Implantate präzise an den geplanten Positionen eingebracht (Abb. 1).
-
Spezielle Aufbauten (Abb. 2) verbinden anschließend die temporäre Brücke mit den Implantaten.
-
Morgens wird implantiert und im Anschluss wird am Nachmittag die Brücke (Abb. 3) im Dental-Labor gefertigt.
-
Nur durch die perfekt abgestimmte Teamarbeit zwischen dem Chirurg, Zahnarzt und Dental-Labor kann am
-
Abend die Übergangsversorgung eingeschraubt werden (Abb. 4).

Die Herstellung der temporären Brücke
Nachdem die Implantate im Knochen verankert sind, wird ein Abdruck der Situation in das Labor geschickt. Die aufgestellten Zähne werden in Position gebracht und durch einen Metallbügel stabilisiert. Somit ist die Versorgung über die Einheilphase stabil und gibt ein sicheres Gefühl. Die temporäre Brücke wird aus Kunststoff erstellt und muss spätestens nach einem Jahr durch die endgültige Versorgung ersetzt werden.


Versorgungsvarianten nach der Einheilphase
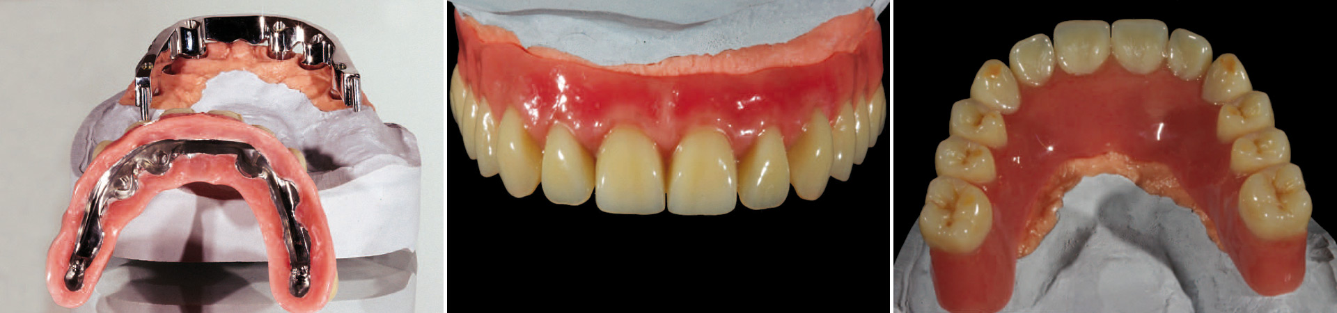
Die Stegprothese / Die fest verschraubte Brücke
Die Stegprothese
Sicherer Halt ist garantiert. Diese herausnehmbare Prothese sitzt sicher auf dem passgenauen Steg. Die Zähne werden natürlich gestaltet und mit zahnfleischfarbenen Anteilen unsichtbar im Mund fixiert. Feste Zähne, die zum Reinigen problemlos entnommen werden können. Schön und unauffällig, von eigenen kaum zu unterscheiden.

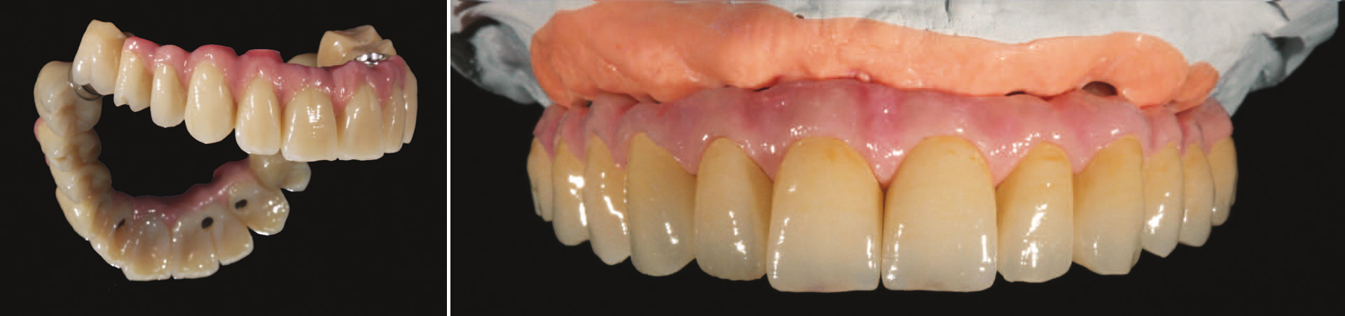
Die fest verschraubte Brücke
Wie schon bei der temporären Brücke, wird diese Versorgung fest auf den Implantaten verschraubt und kann nicht herausgenommen werden. Der Unterbau kann aus Metall oder aus einer speziellen Keramik erstellt werden. Die Zähne und das künstliche Zahnfleisch werden aus einer robusten und ästhetisch schönen Keramik gefertigt. So entstehen funktionelle, schöne und langlebige Zähne für ein strahlendes Wohlgefühl.



